セファログラム
セファログラム(頭部X線規格写真)とは?

-
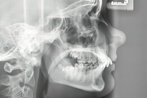
セファログラム(頭部X線規格写真)は、お顔の骨格を正確に捉えるためのレントゲン写真です。
決まった位置や方向から撮影することで、目視だけでは分からない骨格レベルでの情報を把握することができます。
なぜ骨格情報が必要なのか?
見た目の歯並びを整えるだけでなく、お口全体の機能や将来的な安定性を考えると、その土台となる骨格の状態を知ることがとても重要になります。セファログラムでは、主に以下の情報を精密に分析します。
- 1上下のあごの大きさや位置関係
- 顎関節の状態
- 歯の傾斜や位置
- 口元のバランス
特に矯正治療、とりわけ成長期のお子さまの治療においては、あごの骨が今後どのように成長していくかを予測し、それに基づいた治療計画を立てることが重要になります。
セファログラムを用いると、こうした骨格の情報を詳しく知ることが可能です。その情報をもとに見た目の美しさはもちろん、「しっかりと噛める」という機能的な歯並びを目指した治療計画を立てていきます。
当院でのセファログラム活用について

-
当院では、セファログラムをより良い治療のために様々な場面で役立てています。
矯正治療での分析
矯正治療を始める前には、あごの大きさや形、上下のあごの位置関係、歯の傾き具合、お顔全体のバランスを確認することが大切です。セファログラムを使うことで、これらの状態をレントゲン写真から客観的に詳しく調べられます。
写真から得られる情報をもとに、皆様お一人おひとりの骨格の特徴や歯並びの問題点を細かく把握。この結果を踏まえ、その方に合った治療計画を立てることで、治療がどのように進むか予測しやすくなり、より効果的な矯正治療を目指せます。
顎関節症の診断
顎関節症の原因は様々ですが、骨格的な問題が関係していることもあります。セファログラムであごの位置や形を詳しく調べることは、原因を探り、治療方針を決める上で参考になります。
一般歯科における咬合治療
矯正治療だけでなく、一般歯科における咬合治療(噛み合わせの治療)においてもセファログラムを活用しています。噛み合わせの悪さは、あごの骨格や筋肉のバランスが崩れていることが原因である場合があり、セファログラムを用いることで根本的な原因を特定しやすくなります。
骨格から診断することの重要性

-
当院では、目に見える歯並びだけを見るのではなく、お顔全体の骨格の状態も詳しく調べて診断することを大切に考えています。なぜなら、お口の中の問題は、あごの骨の大きさやズレ、関節の状態、周りの筋肉といった、たくさんの要素が複雑に関係しあって起こることが多いからです。
例えば、普段何気なく行っている「噛む」という動作一つをとっても、実は骨格のバランスに大きく影響されています。骨格を詳しく調べることで外から見ただけでは分からない問題点やその根本的な原因が見えてくることがあります。これにより、歯並びや噛み合わせを一時的に良くするだけでなく、将来にわたって健康なお口の状態を保つことを目指せるのです。
また、お子様であれば骨格の成長の様子、大人の方であれば現在の状態を把握することで、将来起こるかもしれない問題を予測し、予防的なアプローチも可能になります。
セファログラム撮影時の放射線量について

参照:東京都歯科医師会 「歯科治療のX線撮影は安全です!」
セファログラム撮影の際、放射線の量が気になる方もいらっしゃるかもしれません。セファログラム撮影時の放射線量は、私たちが日常生活(宇宙、大地、食物など)で自然界から受けている年間の自然放射線量と比較しても、非常に少ないレベルです。
加えて、当院では放射線量を大幅に抑えられるデジタルレントゲン装置を導入しています。検査によるお身体への影響は抑えられていますので、ご安心ください。
ご不明な点や、さらに詳しくお知りになりたいことがございましたら、どうぞご遠慮なくスタッフまでお声がけください。
